My Dental clinic

Full Mouth Rehabilitation (FMR)
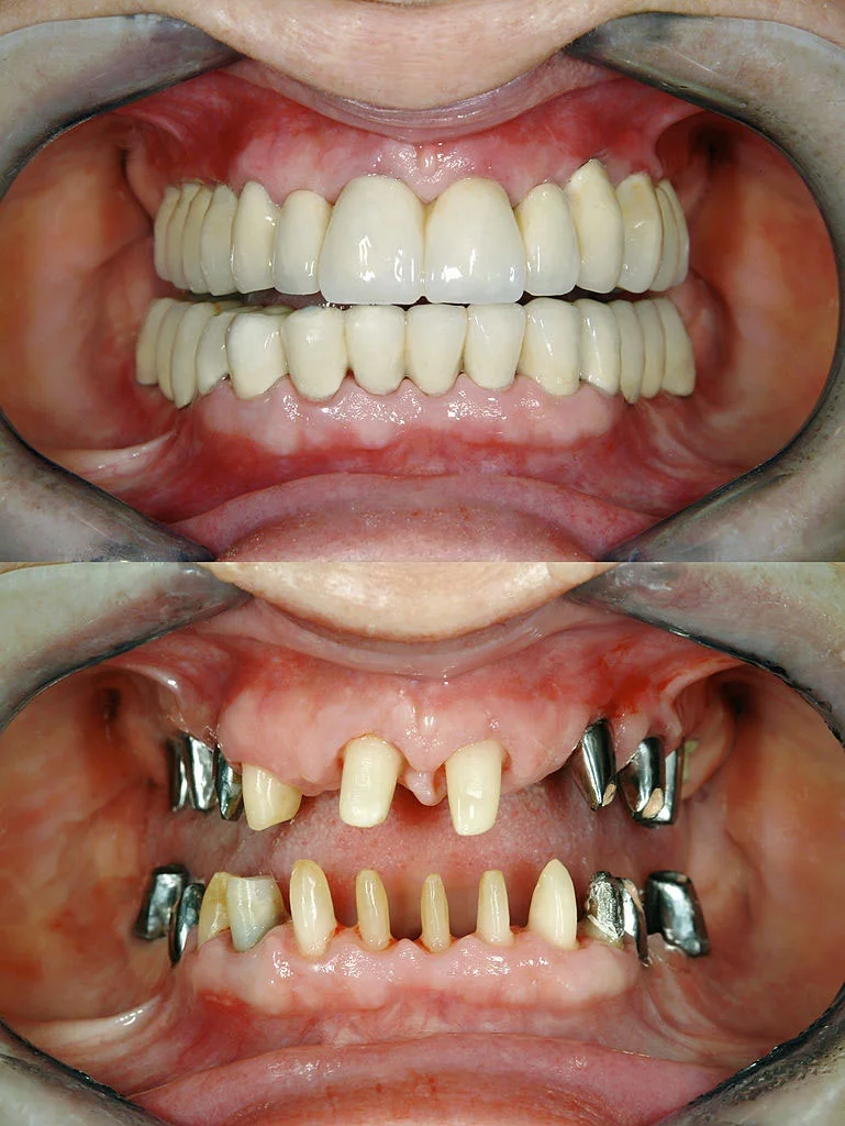
A healthy smile is not just about appearance—it plays a vital role in your overall health, confidence, and quality of life. However, when multiple teeth are damaged, missing, worn out, or affected by severe dental problems, routine dental treatments may not be enough. In such cases, Full Mouth Rehabilitation (FMR) becomes the most effective and comprehensive solution.
At My Dental Clinic, we specialize in advanced Full Mouth Rehabilitation treatments designed to restore the function, aesthetics, and health of your entire mouth. By combining modern technology, expert planning, and personalized care, we help patients achieve long-lasting, natural-looking smiles.

What Is Full Mouth Rehabilitation?

Full Mouth Rehabilitation, also known as Full Mouth Reconstruction or Full Mouth Restoration, is a customized dental treatment plan that involves rebuilding or restoring all the teeth in both the upper and lower jaws. Instead of focusing on a single dental issue, FMR addresses multiple oral problems simultaneously, ensuring complete functional and aesthetic harmony.
Moreover, this treatment is ideal for patients who suffer from extensive dental damage due to decay, trauma, long-term neglect, gum disease, or bite problems. As a result, FMR not only improves oral health but also enhances facial appearance and chewing efficiency.

Who Needs Full Mouth Rehabilitation?

Full Mouth Rehabilitation is recommended for individuals experiencing complex dental concerns. You may be an ideal candidate for FMR if you have:

  • Multiple missing teeth

  • Severely worn or broken teeth

  • Chronic jaw pain or bite issues (TMJ disorders)

  • Advanced gum disease (periodontitis)

  • Old or failing dental restorations

  • Tooth erosion caused by acid reflux or grinding

  • Difficulty chewing or speaking properly

Furthermore, patients who feel unhappy or embarrassed about their smile due to multiple dental problems can greatly benefit from this comprehensive treatment.

Benefits of Full Mouth Rehabilitation

Full Mouth Rehabilitation offers both functional and cosmetic advantages. Some of the key benefits include:

  • Improved chewing and speaking ability

  • Enhanced smile aesthetics

  • Long-term oral health stability

  • Relief from jaw pain and headaches

  • Better bite alignment

  • Increased confidence and self-esteem

Most importantly, FMR restores balance to your entire oral system, which ultimately improves your overall well-being.

Full Mouth Rehabilitation Procedures Involved

Every Full Mouth Rehabilitation case is unique. Therefore, the treatment plan is customized according to the patient’s dental condition, goals, and budget. Typically, FMR may involve a combination of the following procedures:

1. Dental Implants

Dental implants are used to replace missing teeth permanently. They act as artificial tooth roots and provide a strong foundation for crowns or bridges. Consequently, implants restore both function and aesthetics effectively.

2. Dental Crowns and Bridges

Crowns are used to cover damaged or weak teeth, while bridges replace missing teeth by anchoring to adjacent teeth or implants. Together, they help restore bite strength and appearance.

3. Veneers

Dental veneers are thin porcelain shells placed on the front surface of teeth. They improve tooth color, shape, and alignment, especially for cosmetic enhancement.

4. Root Canal Treatment

When tooth pulp is infected or damaged, root canal treatment saves the natural tooth and prevents further complications.

5. Gum Treatment (Periodontal Therapy)

Healthy gums are essential for successful FMR. Therefore, gum disease is treated before or during the rehabilitation process.

6. Orthodontic Correction

In some cases, braces or clear aligners are used to correct bite issues and misalignment prior to restorative procedures.

Step-by-Step Full Mouth Rehabilitation Process

At My Dental Clinic, we follow a systematic and patient-centric approach to ensure successful outcomes.

Step 1: Comprehensive Consultation

First and foremost, we conduct a detailed dental examination. This includes digital X-rays, scans, photographs, and bite analysis. Additionally, we discuss your concerns, expectations, and medical history.

Step 2: Customized Treatment Planning

Next, a personalized Full Mouth Rehabilitation plan is created. Since every patient’s needs are different, the sequence and type of procedures are carefully planned for optimal results.

Step 3: Disease Control Phase

Before proceeding with restorations, existing issues such as decay, infections, or gum disease are treated. This ensures a healthy foundation for long-term success.

Step 4: Restorative and Cosmetic Phase

Subsequently, procedures such as implants, crowns, veneers, or bridges are performed. Throughout this phase, both function and aesthetics are given equal importance.

Step 5: Final Adjustments and Maintenance

Finally, bite adjustments are made, and patients are educated about oral hygiene and follow-up care. Regular dental visits help maintain results for years to come.

Advanced Technology Used in Full Mouth Rehabilitation

At My Dental Clinic, we use modern dental technology to deliver precise and predictable results. This includes:

  • Digital Smile Design (DSD)

  • Intraoral scanners

  • 3D CBCT imaging

  • CAD/CAM restorations

  • Laser dentistry

As a result, treatments are more comfortable, accurate, and efficient.

How Long Does Full Mouth Rehabilitation Take?

The duration of Full Mouth Rehabilitation varies depending on the complexity of the case. While some patients may complete treatment within a few months, others may require a longer timeline, especially if implants or orthodontic procedures are involved. However, despite the time investment, the results are long-lasting and life-changing.

Is Full Mouth Rehabilitation Painful?

Many patients worry about pain during extensive dental treatments. Fortunately, modern dentistry ensures that FMR is safe and comfortable. Local anesthesia, sedation options, and gentle techniques minimize discomfort. Moreover, post-treatment care helps in quick recovery.

Why Choose My Dental Clinic for Full Mouth Rehabilitation?

Choosing the right dental clinic is crucial for successful Full Mouth Rehabilitation. At My Dental Clinic, we stand out because of:

  • Experienced and skilled dental specialists

  • Advanced dental technology

  • Personalized treatment approach

  • High-quality materials and techniques

  • Patient-focused care and hygiene standards

Most importantly, our goal is not just to fix teeth, but to transform smiles and lives.

Call Now Button